O influenciador reapareceu nas redes sociais após sobreviver a uma tentativa de assalto no Rio de Janeiro.
“Nunca vivi dias tão assustadores… Eu vi a morte de perto, bem perto mesmo, com uma bala que entrou perto do meu peito, estilhaçou e foi parar dentro do coração”, publicou.

4 imagens



Fechar modal.

![]()
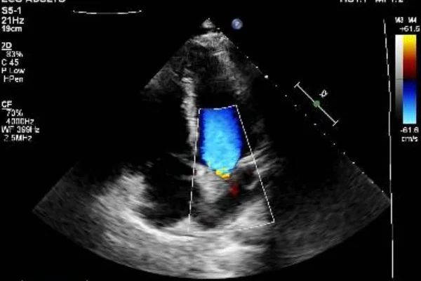
1 de 4 Vittor Fernando compartilha fotos da bala que atingiu seu coração Reprodução/Instagram @vittorfernando
![]()
2 de 4 Vittor Fernando compartilha fotos pela primeira vez após ter carro alvejado no Rio Reprodução/Instagram @vittorfernando
![]()
3 de 4 Vittor Fernando compartilha fotos pela primeira vez após ter carro alvejado no Rio Reprodução/Instagram @vittorfernando
![]()
4 de 4 Vittor Fernando compartilha fotos pela primeira vez após ter carro alvejado no Rio Reprodução/Instagram @vittorfernando
Vittor estava com o namorado, o ator , quando o carro em que estavam foi alvo de disparos na madrugada da última sexta-feira (24/10). O influencer aponta que 13 disparos atingiram o automóvel. Em nota, a Polícia Civil mencionou a hipótese de “tentativa de homicídio”.
Leia também
Em uma publicação, o influenciador mostrou exames que mostram a presença da bala no coração, além de imagens do veículo alvejado e da cicatriz no peito e na perna, onde também atingido.

Vittor Fernando compartilha fotos pela primeira vez após ter carro alvejado no Rio
“Eu não acreditava em milagres, mas hoje, com a notícia de que eu vou sair da UTI, definitivamente, eu acredito!”, escreveu.
O influenciador também relatou a dor de ver o companheiro ferido. “A dor de ver o Gabriel sangrando com um tiro no braço… o que eu e Gabriel fizemos pra merecer isso? Nada. Simplesmente paramos o carro, carro esse qUE foi baleado com mais de 13 tiros, dando perda total”, desabafou.